Special Offers

Limited time promotions for your perfect smile

New Patients $200

Complete Welcome Package

  • Comprehensive new patient exam
  • Hygiene scale and clean
  • 2 bitewing X-rays
  • Topical fluoride treatment
Book via eAppointment
$200

Take-Home Whitening Kit

  • Professional-grade whitening gel
  • Custom-fitted trays
  • Whiten at your convenience
  • Results in 7-14 days
Book via eAppointment
Galleon Way dental inside the practice currumbin burleigh heads veneers implants invisalign
✨ Transform Your Smile

Cosmetic Dentistry

Enhance your smile with our comprehensive cosmetic dental procedures

Teeth Whitening
Porcelain Veneers
Invisalign
Clear Correct
Dental Crowns
Dental Bridges
Teeth Whitening
Porcelain Veneers
Invisalign
Clear Correct
Dental Crowns
Dental Bridges

Same-day consultations available • Flexible payment plans

What is Cosmetic Dentistry?

Cosmetic dentistry encompasses a variety of procedures designed to improve the aesthetics of your smile and treatment plans are tailored to suit your specific needs and budget. Our experienced team can discuss your concerns with you and describe what options may be suitable to transform your smile into one you can be proud of.

Brighten Your Smile

Teeth Whitening

The simplest and most cost effective cosmetic procedure to brighten up your smile

Teeth whitening can be the simplest and most cost effective of all cosmetic procedures to brighten up your smile. Whether you have a single unsightly, discoloured tooth or you'd like an overall lift to your entire smile, teeth whitening is an inexpensive, safe and non-invasive way of improving your smile and increasing your confidence. Whitening is often the first stage of any smile makeover and the results are permanent.

In-Chair Whitening - Pola Office+

Pola Office+, the world's fastest bleach is the answer for those patients living busy lifestyles. Pola Office+ is applied by your dental professional while you sit in the dental chair, watching your favourite movie or listening to relaxing music. Pola Office+ contains 37.5% hydrogen peroxide so you get the fastest result.

At-Home Whitening

Top and bottom teeth whitening is a safe and effective treatment which can be performed in the dental chair or at home. Typically patients elect to have custom made trays made into which whitening gel is placed. The tray is then worn (usually overnight) until the desired level of whitening has been achieved. This generally takes 10 to 14 days. If there is a need for 'instant' results you can book in for whiter teeth in an hour. Please ask for further details.

Single Tooth Whitening

Teeth whitening for a single discoloured tooth (usually a root canal treated tooth) involves placement of a specially formulated peroxide paste within the crown of the tooth. This treatment may require a number of visits to whiten the tooth depending on the initial shade and the length of time the tooth has been discoloured.

Invisible Straightening

Invisible Teeth Straightening Using Custom Aligners

Experience the virtually invisible alternative to braces that lets you keep smiling during your treatment. We offer custom-made, clear, removable aligners that gradually move teeth toward the smile you've always wanted.

Clear aligners are so discreet; most people won't even notice you're wearing them.

Virtually Invisible
Removable
Comfortable
ClearCorrect invisible aligners for teeth straightening

ClearCorrect

Premium clear aligner system

Invisalign clear aligners for invisible teeth straightening

Invisalign

World-leading clear aligner technology

Our experienced dentists will assess your needs and recommend the best clear aligner system for your smile transformation journey.

Premium Aesthetics

Dental Veneers

Transform your smile instantly with custom-designed porcelain or composite veneers

A dental veneer is a thin layer of porcelain or composite resin made to fit over the front of a tooth to improve its appearance. Veneers are used to mask strong discolourations, reshape teeth, close gaps, repair fractured and worn teeth, or simply to instantly 'straighten' a rotated or crowded tooth. Dental veneers offer an excellent alternative to orthodontic treatment in this regard. Veneers can be placed directly in a single visit, or for superior aesthetics may be fabricated via a two-stage process, in porcelain. Ask one of our dentists which option would be best for you.

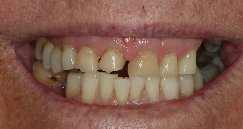
Before veneers treatment
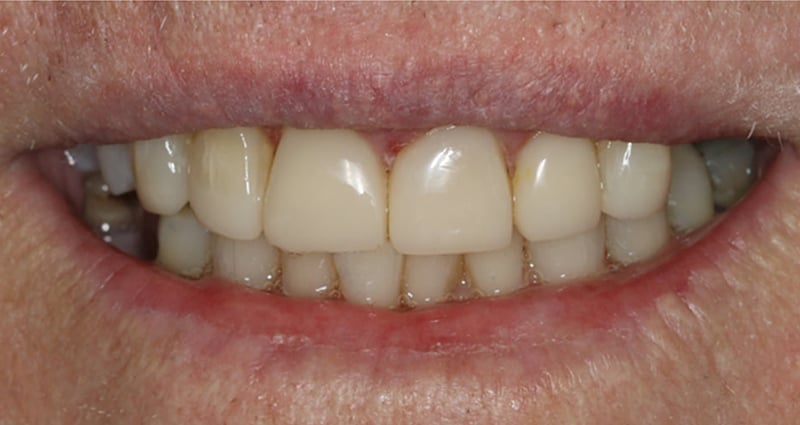
After veneers treatment
Special Offer

Ceramic Veneers Package

Starting from $800

Dental veneer package starting from $800 per veneer for the most professionally customized veneer recreating a more natural and perfect shade for your SMILE!

Book via eAppointment
Galleon Way Dental
Restorative Excellence

Crowns and Bridges

Strengthen and restore your teeth with custom-made crowns and bridges

Dental Crowns

A crown is a custom made cap which strengthens and improves the appearance of a tooth. Crowns are suited for heavily filled teeth, broken or cracked teeth and to improve the integrity of a tooth following root canal treatment.

Traditionally crowns have been made out of gold or porcelain fused to metal. Both materials are satisfactory, however current state-of-the-art Zirconia (Ceramic Steel) porcelains allow metal-free crowns to be placed in situations where strength is required without compromising the restoration's aesthetics.

Zirconia Metal-Free Natural Look

Dental Bridges

A Bridge is used to replace a missing tooth and improve the appearance of the adjacent teeth which are normally heavily filled and generally utilises the same technologies as a crown.

Sometimes a bridge can be bonded just to one of the adjacent teeth as a more conservative and cost-effective solution.

Did you know? Modern bridges can be bonded to just one adjacent tooth for a more conservative approach.

Cosmetic Dentistry FAQs

Your Smile Transformation Questions Answered

Everything you need to know about cosmetic dental treatments

Get In Touch With Us

Whether you need to book an appointment, have questions about our services, or need emergency dental care, we're here to help.

Phone

(07) 5593 9500

Call us during business hours

Email

[email protected]

Send us an email anytime

Opening Hours

Monday - Friday: 8:30am - 5:00pm

Appointments outside these hours may be made by special arrangement

Our Location

7/174 Galleon Way
Currumbin Waters, QLD 4223

Dental Emergency?

Same day emergency appointments are available. Call us immediately for urgent dental care.

Call Now: (07) 5593 9500

Send us a message

We'll respond to your inquiry within 24 hours